Casos reales

Rehabilitación Superior e Inferior metal-Cerámica

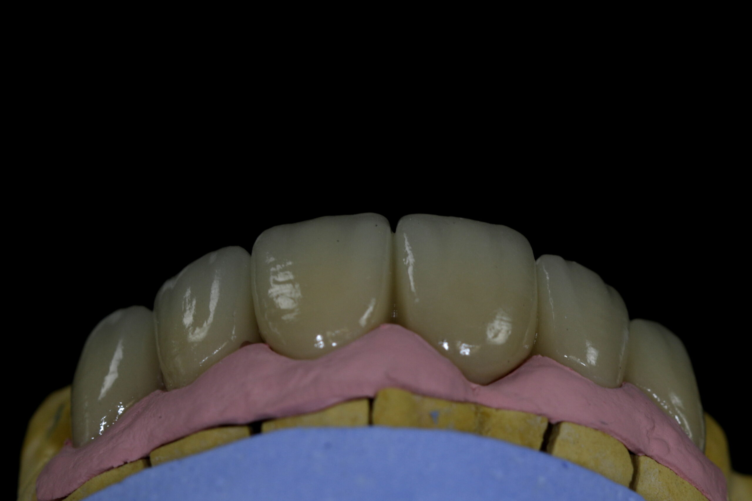
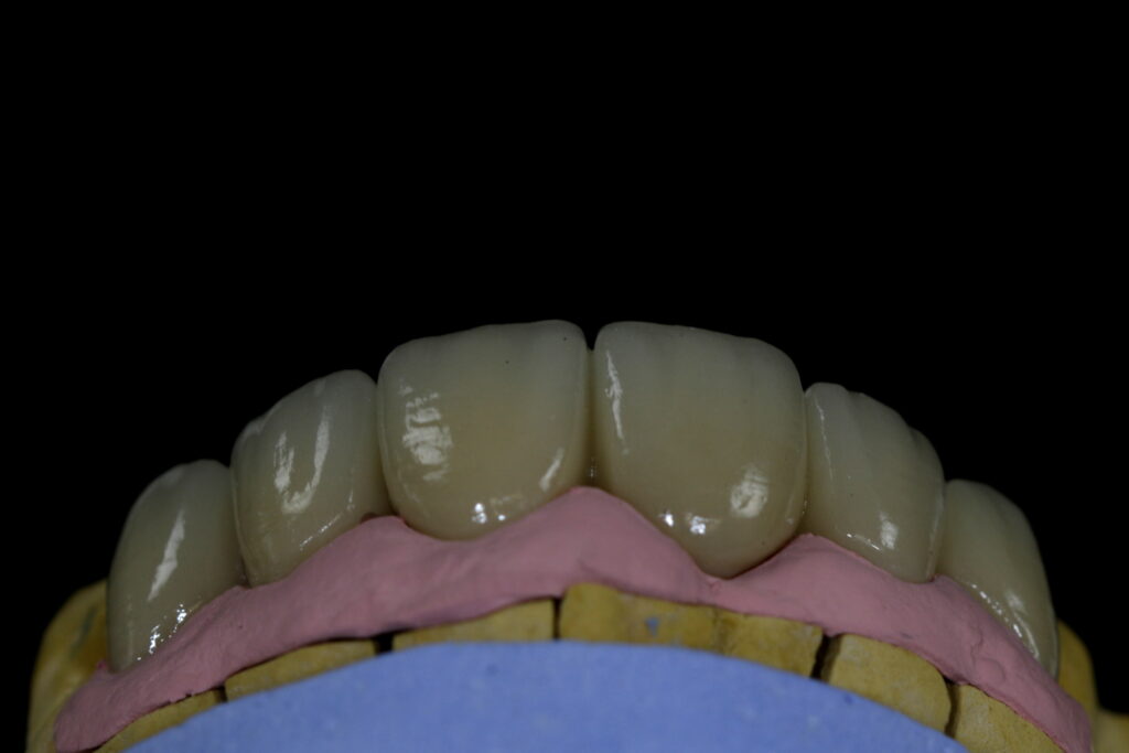
Puente Zr. Cut Back 13-23

Puente Metal Cerámica 44-47

Carillas Disilicato de Litio 13-23

Contacta con nosotros